
マウスピース矯正って前歯だけできるのかな?
そんな不安を感じている方も多いのではないでしょうか。
マウスピース矯正には、前歯だけを矯正治療する「部分矯正」と奥歯も含めた全体を矯正治療する「全体矯正」があります。
この記事では、前歯だけ矯正する場合の「部分矯正」のデメリットについて詳しく解説していますので、「自分には部分矯正と全体矯正のどちらが向いているのか」の判断材料にして頂ければ幸いです。
監修者


【名前】
中嶋 麻優子
【職業】
【所属】
都内の某歯科医院
【経歴】
東京歯科大学卒業
卒業後、10年以上歯科医師として現在も活躍中
- 歯科医師国家資格
- アソアライナー認定ドクター
- ポリリンホワイトニング取扱医
- WHマスク監修
- 無臭研監修
- マウスピースケース監修
結論|マウスピース矯正を前歯だけでやるデメリットは「噛み合わせリスク」が最大
前歯だけのマウスピース矯正(部分矯正)は、見た目の変化が分かりやすい反面、奥歯の噛み合わせや顎のバランスといった「機能面」を置き去りにしやすいのが最大の落とし穴です。
ここでは、なぜ「噛み合わせリスク」が最重要なのかを分かりやすく整理します。
前歯だけは“見た目の改善”に強いが、機能(噛み合わせ)を残しやすい
前歯は笑ったとき・話すときに目立つため、前歯が整うだけで「矯正できた感」が出やすいのは事実です。しかし、歯並びは「見た目」と「噛む機能」がセットです。
部分矯正は、基本的に奥歯の位置関係(噛み合わせ)を大きく作り変えるのが苦手です。
そのため、噛み合わせの原因が残ったまま前歯だけ整えることになりやすく、結果として「噛みにくい」「当たり方が変」「顎が疲れる」といった違和感が出たり、後戻りしやすくなったりします。
つまり、前歯だけ矯正は「見た目の改善」には強い一方で、機能面を守る設計が弱いとデメリットが一気に表面化する治療だと理解しておくのが大切です。
合う人ならコスパ良い/合わない人がやると遠回りになりやすい
前歯だけ矯正は、条件が合えば費用・期間ともに抑えやすいのが魅力です。
軽いガタつきや、軽度のすきっ歯などは、部分矯正で満足度が高くなりやすい傾向があります。
一方で、条件が合わないのに無理に部分矯正を選ぶと、途中で「やっぱり全体矯正が必要」となって二度手間になったり、噛み合わせの違和感が残って追加治療が必要になったりすることもあります。
最初は安く見えても、追加アライナー・再スキャン・再契約が重なると、結果的に最短ルートだったはずが遠回りになりやすい点は、最初に知っておくべきデメリットです。
まず最初に確認すべきは「奥歯の噛み合わせ」と「症例の軽さ」
前歯だけ矯正で後悔しないために、最初に見るべきは2つだけです。
①奥歯の噛み合わせと、②症例の軽さ(どれくらい動かす必要があるか)です。
- 奥歯が左右均等に噛めているか(片側だけ当たる/噛むとズレる感じがないか)
- 前歯のズレが軽度か(スペース不足が大きいと無理が出やすい)
- 顎の痛み・カクカク音がないか(顎関節に既に負担がある可能性)
この2点がクリアできない場合、部分矯正は「やめた方がいい」ではなく、より丁寧な診断と計画(場合によっては全体矯正)を検討すべきというサインになります。
マウスピース矯正を前歯だけにする前に知っておくべき前提(部分矯正の限界)
部分矯正の失敗は、技術よりも「前提の勘違い」で起きがちです。ここでは、前歯だけ矯正を選ぶ前に必ず知っておきたい“限界”を整理します。
「前歯だけ」といっても歯は連動して動く(部分コントロールには限界)
矯正は「この歯だけ動かす」と言い切れるほど単純ではありません。
歯は歯列としてつながっており、力をかければ周りの歯や噛み合わせにも影響が出ます。
特にマウスピースは歯を包み込む装置なので、“前歯だけのつもり”でも装置がかかっている範囲で連動が起きることがあります。
ここを理解せずに「とにかく前歯だけ綺麗に」と進めると、奥歯が浮いたり、当たり方が変わったりする原因になります。
部分矯正は「部分だけ動かす治療」ではなく、「動かす範囲を制限した治療」です。制限した分、できることも限られます。
海外で言う“Social Six(前の6本)”=見た目治療と医療矯正は別物
海外では、笑ったときに見える前歯の範囲を“Social Six(前の6本)”と呼び、「見た目だけ整える治療(Cosmetic)」と「噛み合わせまで作る矯正(Comprehensive)」は別物という考え方がよく出てきます。
前歯だけ矯正は、どうしてもCosmetic寄りになりやすい一方で、本人は「医療としての矯正をしたつもり」になりやすいのがギャップです。目的がズレると、満足度が下がります。
だからこそ、治療前に「私は見た目重視なのか?噛み合わせまで改善したいのか?」を言語化しておくことが大切です。
部分矯正が成立するのは「軽度〜中等度」までが基本
部分矯正が得意なのは、軽いガタつき・軽度のすきっ歯・わずかなねじれなど「少し整えれば綺麗に見える」範囲です。
逆に、スペース不足が大きい場合や、上下のズレが強い場合は、部分矯正の設計自体に無理が出やすくなります。
- 前歯の重なりが強く、スペースが明らかに足りない
- 噛み合わせ(奥歯)が不安定、左右差がある
- 出っ歯・受け口・開咬など、骨格要因が強い
出っ歯の場合、以下のような症例だと矯正治療が難しい可能性があります。


【最重要】マウスピース矯正を前歯だけで行うデメリット|噛み合わせ(機能面)のリスク
前歯だけ矯正のデメリットはたくさんありますが、最も深刻になりやすいのは噛み合わせ(機能面)の崩れです。
ここでつまずくと「見た目も機能も中途半端」になりやすいので、重点的に押さえましょう。
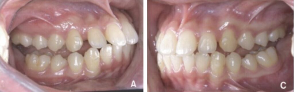
奥歯が噛み合わなくなる「臼歯部開咬(Posterior Open Bite)」のリスク
臼歯部開咬(Posterior Open Bite)は、簡単にいうと「前歯が先に当たって、奥歯が浮いてしまい噛めなくなる状態」です。
イメージは、以下の通りです。


特にアライナー矯正では、装置の厚みや力のかかり方の影響で、この問題が話題になりやすいです。
- 奥歯で食べ物を噛み切れない
- 前歯だけが強く当たり、歯がしみる・違和感がある
- 噛む位置が定まらず、食事が疲れる
もちろん全員に起きるわけではありませんが、部分矯正は「噛み合わせを作り直す設計」が弱くなりやすいため、起きたときのダメージが大きいのがデメリットです。
顎関節症につながる可能性(噛み合わせのバランス崩れ)
噛み合わせが不安定になると、噛むたびに顎の位置がズレたり、片側ばかりで噛む癖が強まったりします。
これが続くと、顎関節や筋肉に負担がかかり、顎が痛い・口が開けにくい・カクカク鳴るといった不調につながることがあります。
特に、治療前から「顎が鳴る」「朝起きると顎がだるい」「食いしばりが強い」人は、部分矯正で噛み合わせが揺れると悪化しやすい傾向があります。
矯正を始める前に、顎の症状も必ず申告しましょう。
出っ歯が悪化することがある(フレアアウト/口元が出る)
前歯のガタつきを整えるには「スペース」が必要です。
その結果、スペース不足のまま無理に前歯を並べようとすると、前歯が前方に倒れる(起き上がる)ように動き、口元が出た感じ(フレアアウト)になってしまうことがあります。
前歯の重なりが強い方、もともと口元の突出感が気になる方、横顔(Eライン)も変えたい方は、部分矯正よりも包括的な計画が必要な場合があるので注意してください。
噛みにくい・疲れる・違和感が続くなど“生活ストレス”が出ることも
矯正中は多少の違和感が出ることがありますが、部分矯正で噛み合わせが不安定になると、生活のストレスとして積み重なりやすいです。
- 食事がうまく噛めず、外食が憂うつになる
- 顎が疲れて、夕方にだるくなる
- 歯が当たる場所が毎週変わるように感じる
こうしたストレスが続くと、装着時間が減る→計画が崩れる→さらに長引く、という悪循環になりがちです。
だからこそ、部分矯正は見た目だけでなく機能面の安定が担保される設計が重要になります。
マウスピース矯正を前歯だけでやるデメリット|見た目(審美)の落とし穴
「前歯が綺麗になるはずだったのに、思ったより満足できない…」という不満は、審美面の落とし穴から起きやすいです。
よくある失敗パターンを先に知っておくと、治療前の確認が一気にラクになります。
歯並びは整ったのに「正中(センター)がズレる」ことがある
正中(センター)は、顔の中心に対する上下前歯の真ん中の位置です。
部分矯正では動かせる範囲が限られるため、上下のセンターを細かく合わせるコントロールが難しいことがあります。
治療前に“センターをどこまで合わせる方針か”は、必ず確認しておきましょう。
Eラインや横顔の印象は変わりにくい(骨格問題は別領域)
Eライン(横顔)は、歯並びだけでなく骨格(顎の位置・唇の厚み・鼻の高さ)の影響が大きいです。
前歯だけの部分矯正は骨格を変える治療ではないため、横顔の印象が劇的に変わることは基本的に期待しにくいです。
もし「口元を下げたい」「横顔もスッキリさせたい」が主目的なら、最初から全体矯正(必要なら抜歯や顎位の評価も含む)を前提に相談した方が、結果的に満足度が高くなりやすいです。
ブラックトライアングルが目立つことがある(大人ほど起きやすい)
ブラックトライアングルは、歯と歯の間、歯茎の付け根にできる黒い三角形の隙間です。
重なっていた歯を並べることで隙間が見えるようになり、「歯並びは良いのに、隙間が気になる」状態になることがあります。
起きやすい条件として、歯の形が三角っぽい、歯周組織が下がっている、大人の矯正、もともと歯茎が薄い、などが挙げられます。
対策としては、IPR(歯間を少し整える)や形態修正、場合によっては審美的な処置(レジン等)を検討することもあります。
気になる方は、治療前にブラックトライアングルの想定と対策を聞いておくと安心です。
「思ったほど綺麗にならない」典型パターン(仕上がりの限界)
部分矯正で満足できない人に多いのが、「ガタつきは減ったけど、理想の美しさではない」というケースです。
理由はシンプルで、部分矯正は動かせる範囲が限られる=作れる仕上がりにも上限があるからです。
満足度を上げるコツは、治療前に「どこまで綺麗になるか」を症例写真やシミュレーションで具体的に確認し、“理想”と“現実”の差を先に埋めておくことです。
マウスピース矯正を前歯だけでやるデメリット|歯そのものへのダメージ・処置リスク
矯正は医療行為です。見た目のために歯を動かす以上、一定のリスクは避けられません。
特に「前歯だけ」は、スペース確保のための処置が増えることがあり、ここに抵抗を感じる方も多いです。
IPR(歯と歯の間を削る)が増えやすい/抵抗がある人は注意
IPR(ディスキング)は、歯と歯の間をわずかに削ってスペースを作る処置です。
全体矯正のように奥歯を動かしてスペースを作れない設計の場合、前歯の並びを整えるためにIPRの比重が上がりやすいことがあります。
適切な範囲で行うのが前提ですが、本人からすると「健康な歯を削る」行為なので、精神的な抵抗になりがちです。
IPRの量・回数・目的を事前に聞けると、納得感がかなり上がります。
知覚過敏・しみるリスク(体質や削る量による)
IPR後や、歯が動いている最中は、一時的にしみやすくなることがあります。
対策としては、しみ止め歯磨き粉の活用、強いブラッシングを避ける、必要なら知覚過敏の処置(コーティング等)を相談すると安心です。
歯根吸収(歯の根が短くなる)の可能性はゼロではない
歯根吸収は、矯正で歯を動かす際に起き得る副作用の一つで、歯の根が短くなる現象です。
起きる確率や程度には個人差がありますが、「短期間だから安全」とは限らない点は理解しておくべきです。
リスクを減らすためにも、検査と説明が丁寧な医院を選びましょう。
歯肉退縮・歯周状態への影響(歯周病がある人は要注意)
歯周病がある状態で矯正を始めると、歯を支える骨や歯茎の状態が不安定になりやすく、歯肉退縮が進むリスクがあります。
部分矯正でもリスクがゼロになるわけではありません。
出血しやすい、歯茎が腫れやすい、歯が長く見える…これらがある人は、まず歯周状態の安定化(治療・クリーニング)を優先するのが安全です。
マウスピース矯正を前歯だけでやるデメリット|後戻りと保定(リテーナー)の現実
矯正は「動かして終わり」ではありません。後戻りを防ぐフェーズ(保定)が本番です。
前歯だけ矯正は特に、原因が残りやすいぶん後戻りもしやすいので、ここを甘く見ると一気に崩れます。
前歯は後戻りしやすい(原因が残ると特に戻りやすい)
前歯は、舌や唇の力、噛み癖などの影響を受けやすく、矯正後も動きやすい部位です。
さらに部分矯正では、噛み合わせの原因が残ったままになりやすいため、「整えた前歯が戻る方向に力がかかり続ける」ケースがあります。
よくある流れとして、噛み合わせが不安定→前歯に変な当たり方が出る→前歯が押される→少しずつズレる、というパターンがあります。
保定期間が長い/サボると元通りになりやすい
矯正後はリテーナー(保定装置)を使って、歯が新しい位置に安定するまで支えます。
ここをサボると、歯は驚くほど早く戻ります。特に治療直後は戻りやすい時期なので、「忙しいから今日はいいや」が積み重なると危険です。
保定期間は医院や症例で異なりますが、少なくとも「しばらくは毎日」、その後も「夜間は継続」といった長期戦になることが多いです。
前歯だけ矯正は、短期で終わる治療に見えて、保定は長いと捉えておくとギャップが減ります。
舌癖・口呼吸・食いしばりがあると後戻りしやすい
後戻りは「装置の問題」だけではありません。
舌で前歯を押す癖(舌突出癖)、口呼吸、食いしばりなどがあると、前歯に毎日じわじわと力がかかり続けるため、どうしても戻りやすくなります。
対策としては、保定を徹底するのは大前提として、必要ならMFT(口腔筋機能療法)なども含め、「戻る原因」を一緒に潰すと再発を防ぎやすくなります。
マウスピース矯正を前歯だけでやるデメリット|装着時間と自己管理の難しさ
マウスピース矯正は、自己管理がすべてと言っても過言ではありません。前歯だけ矯正でも装着時間の基準は変わらず、ここが崩れると一気に失敗に近づきます。
「前歯だけだから楽」は危険(1日20時間以上が基本)
「前歯だけ=簡単」と思われがちですが、実際は逆で、部分矯正ほど固定源(動かない基準)が少なくなるため、装着時間がブレると計画が崩れやすい面もあります。
装着時間が不足すると“計画通りに動かない→治療延長”が起きる
装着時間が不足すると、歯が予定通りに動きません。
すると、次のマウスピースが入らない、痛い、浮くといった問題が出て、治療が延びる・追加アライナーが必要になる可能性が高まります。
ありがちな落とし穴は、予定より遅れる→焦って無理に進める→痛みや不適合が増える→さらに装着時間が減る、という悪循環です
最初から「毎日続けられる運用」を作ることが大切です。
飲食・外食・仕事で続かない人ほど失敗確率が上がる
外食が多い、会食がある、間食が多い、仕事中に外せない…こうした生活スタイルだと、マウスピースの着脱がストレスになり、装着時間が削られがちです。
もし「生活的に続くか不安」なら、治療前に現実的な運用(外すタイミング・歯磨きのルール・持ち歩き)を一緒に設計してくれる医院を選ぶと安心です。
マウスピース矯正を前歯だけでやるデメリット|費用・契約の落とし穴(結局高くなる)
部分矯正は「安い」と言われがちですが、契約や追加費用の仕組み次第で、トータルは高くなることもあります。
その理由について詳しく解説していきます。
結局「全体矯正」が必要になり二度手間・追加費用になることがある
部分矯正後に、噛み合わせの違和感が残ったり、仕上がりに満足できなかったりして、全体矯正に切り替えるケースがあります。
このとき、「部分矯正の費用が無駄になる」わけではないですが、追加で費用が発生する可能性は高いです。
最短ルートは、「最初に全体矯正が必要かどうかをしっかり見極める」こと。
ここを飛ばして契約すると、遠回りになりやすいのが部分矯正の落とし穴です。
調整・追加アライナー・再スキャンなど“別料金”が発生する場合
料金プランによっては、追加アライナー(追加製作)や再スキャン、保定装置、経過観察の費用が別になっている場合があります。
最初の見積もりが安くても、後から細かく加算されると、想定より高くなることがあります。
下記の内容をしっかり確認することが大切です。
- 追加アライナーは何回まで込みか
- 再スキャン費用はかかるか
- 調整料(毎回の処置料)は含まれるか
- 保定装置(リテーナー)の種類と費用
- 通院頻度と追加費用の条件
「適応外なのに強行」するクリニックに注意(安さ訴求だけで決めない)
部分矯正は安さを前面に出した訴求も多いですが、適応外の症例に対して無理に部分矯正を提案すると、「いつまでも終わらない」「噛み合わせが崩れた」「後戻りした」といったトラブルにつながりやすくなります。
あなたの希望を聞いた上で、必要なら「部分矯正は難しい」「全体矯正の方が安全」と説明してくれる医師こそ信頼しやすいです。
前歯だけのマウスピース矯正が向いていない人(デメリットが出やすい症例)
ここは読者が一番知りたいパートです。「私は前歯だけでいけるの?」に答えるために、向いていない典型例をまとめます。
奥歯の噛み合わせに問題がある(開咬・過蓋咬合・交叉咬合など)
奥歯の噛み合わせが不安定な人は、前歯だけ動かすとバランスが崩れやすいです。
開咬(前歯が噛まない)、過蓋咬合(噛み込みが深い)、交叉咬合(左右が逆に噛む)などは、部分矯正の範囲で解決が難しいケースがあります。
開咬のイメージは以下の通りです。


このタイプは、見た目を整えた瞬間に噛めなくなるなどのリスクがあるため、最初から全体矯正前提で相談する方が安全です。
ガタつきが強い/スペースがない(無理に並べるとフレアアウトしやすい)
前歯が強く重なっている場合、並べるためのスペースが足りません。
部分矯正でスペースを作れない設計だと、前歯が前に出る(フレアアウト)リスクが上がります。
ガタつきが強い人ほど、「前歯だけ」で綺麗にするのは難易度が上がる(=失敗の種が増える)と考えてください。
骨格要因が大きい(口ゴボ・顎のズレ・上下顎の不調和)
口ゴボや顎のズレなど、骨格の影響が強い場合、前歯だけを動かしても根本は変わりません。
このタイプは、矯正専門医の評価(必要なら外科矯正の適応も含め)まで視野に入れて、最初から包括的な診断を受けることが重要です。
歯周病・歯肉退縮が進んでいる/メンテが苦手
歯周状態が不安定だと、歯を支える基盤が弱く、矯正による負担が出やすいです。
また、マウスピース矯正は清掃・管理が必須なので、メンテが苦手な人ほど虫歯・歯肉炎リスクが上がります。
矯正の前に歯周治療とクリーニングで状態を整え、「矯正に耐えられる口内環境」を作ってから進めると安全です。
デメリットを避けるためのクリニック選び(前歯だけ矯正で失敗しないコツ)
前歯だけ矯正は、医院選びで結果が大きく変わります。
特に「噛み合わせ」をどう扱うかで、成功と後悔が分かれます。
「できない」と言ってくれる医師が信頼できる
本当に信頼できるのは、あなたの希望を聞いた上で、必要なら「部分矯正は難しい」「全体矯正の方が安全」と正直に言ってくれる医師です。
逆に、どんな症例でも「前歯だけで大丈夫」と即答する場合は慎重になった方がいいでしょう。
部分矯正は、適応を見誤るとデメリットが出やすい治療です。だからこそ、断る勇気がある=診断の線引きができる医師は強い味方になります。
治療前に確認すべき検査(噛み合わせ評価・口腔内スキャン等)
最低限、噛み合わせ評価(どこが当たっているか、左右差はあるか)、口腔内スキャン、必要に応じてレントゲンなど、原因を見抜くための検査が必要です。
検査が少ないまま「前歯だけでいけます」と進むのは危険なので注意しましょう。
まとめ:前歯だけ矯正は“見た目の近道”に見えて、噛み合わせ次第で遠回りになる
前歯だけのマウスピース矯正(部分矯正)は、短期間で見た目の変化が出やすく、条件が合えば費用も抑えられる魅力があります。
だからこそ「前歯だけ整えたい」と思う人にとって、かなり現実的な選択肢になりやすい治療です。
ただし、この記事で一貫してお伝えした通り、最大のデメリットは“噛み合わせリスク”を置き去りにしやすい点です。
部分矯正は奥歯の位置関係を大きく作り変えるのが苦手なため、噛み合わせの原因が残ったまま前歯だけ整えてしまい、「噛みにくい」「当たり方が変」「顎が疲れる」といった違和感が出たり、臼歯部開咬(Posterior Open Bite)のように奥歯が浮いて噛めなくなるリスクが話題になったりします。
さらに、スペース不足のまま無理に並べようとしてフレアアウト(口元が出る)につながる可能性もあり、見た目を良くするために始めたのに満足度が下がってしまうケースもあります。
また、審美面でも「センターがズレる」「Eラインは変わりにくい」「ブラックトライアングルが目立つ」など、部分矯正ならではの限界があります。
加えて、IPR(歯と歯の間を削る)が増えやすい設計になることがあり、知覚過敏、歯根吸収、歯周状態への影響といった医療的リスクもゼロではありません。
矯正後の保定(リテーナー)も長期戦になりやすく、舌癖・口呼吸・食いしばりがあると後戻りが進みやすい点も、想像以上に大きな落とし穴です。
結局、前歯だけ矯正で後悔しないために最初に見るべきは「奥歯の噛み合わせ」と「症例の軽さ」の2点です。
ここがクリアできる軽度〜中等度のケースならコスパ良く満足できる可能性が高い一方で、噛み合わせに問題がある、ガタつきが強い、骨格要因が大きい、歯周状態が不安定、自己管理が苦手──こうした条件がある場合は、部分矯正を選ぶほどデメリットが表面化しやすくなります。
前歯だけ矯正は、正しく選べば近道ですが、噛み合わせを甘く見ると一気に遠回りになる治療だと理解しておくと、判断を誤りにくくなります。
以上参考になれば幸いです。
最後までお読みいただき、ありがとうございました。
<参考文献>
| カテゴリ | サイト名 | ページ名 | URL |
|---|---|---|---|
| 公式(米国・矯正専門) | American Association of Orthodontists (AAO) | Clear Aligners | https://aaoinfo.org/treatments/aligners/ |
| 公式(米国・矯正専門) | American Association of Orthodontists (AAO) | Clear Aligner Therapy: The Discreet Way to Straighten Teeth | https://aaoinfo.org/whats-trending/clear-aligner-therapy/ |
| 公式(米国・矯正専門) | American Association of Orthodontists (AAO) | AAO Highlights Health Risks of Mail-Order Orthodontics | https://www2.aaoinfo.org/aao-highlights-health-risks-of-mail-order-orthodontics/ |
| 公式(英国・矯正専門) | British Orthodontic Society (BOS) | Clear aligners | https://bos.org.uk/clear-aligners/ |
| 公式(英国・矯正専門) | British Orthodontic Society (BOS) | What are clear aligners?(PDF) | https://bos.org.uk/wp-content/uploads/2024/01/Aligners-version-2024.pdf |
| 公式(英国・矯正専門) | British Orthodontic Society (BOS) | Retainers(PDF) | https://bos.org.uk/wp-content/uploads/2022/03/British-Orthodontic-Society-RetainersFebruary2019.pdf |
| 公的医療(英国) | NHS(UK) | Orthodontics treatments | https://www.nhs.uk/tests-and-treatments/orthodontics/treatments/ |
| 公的医療(英国) | NHS England | Retainer Q & A(PDF) | https://www.england.nhs.uk/south/wp-content/uploads/sites/6/2019/11/orthondontic-mcn-retainers-questionandanswer-nov2019.pdf |
| 公的医療(英国) | Nottingham University Hospitals NHS Trust | Orthodontics retainers | https://www.nuh.nhs.uk/orthodontics-retainers/ |
| エビデンス(系統的レビュー) | Cochrane Library | Retention procedures for stabilising tooth position after orthodontic treatment | https://www.cochranelibrary.com/cdsr/doi/10.1002/14651858.CD002283.pub5/full |
| エビデンス(解説) | Cochrane | What is the best method for maintaining the correct position of teeth after orthodontic treatment? | https://www.cochrane.org/evidence/CD002283_what-best-method-maintaining-correct-position-teeth-after-orthodontic-treatment |
| 公式(日本・学会) | 公益社団法人 日本矯正歯科学会(JOS) | ポジションステートメント:マウスピース型矯正装置による治療に関する見解(第二版) | https://www.jos.gr.jp/4348 |
| 公式(日本・学会) | 公益社団法人 日本矯正歯科学会(JOS) | カスタムメイド(マウスピース型等)の矯正装置の注意事項 | https://www.jos.gr.jp/medical/3876 |
| 公式(日本・歯科医師会) | 公益社団法人 日本歯科医師会(JDA) | お口のなんでも相談「矯正」 | https://www.jda.or.jp/consultation/vol-21.html |
| 論文DB(要旨) | PubMed(NLM/NIH) | Root resorption in orthodontic treatment with clear aligners(systematic review & meta-analysis) | https://pubmed.ncbi.nlm.nih.gov/31323701/ |
| 論文(全文) | PubMed Central(PMC/NIH) | Assessment of periodontal health status and gingival recession with clear aligners vs fixed appliances(systematic review & meta-analysis) | https://pmc.ncbi.nlm.nih.gov/articles/PMC10314350/ |
| 論文(全文) | PubMed Central(PMC/NIH) | The Role of Interproximal Reduction (IPR) in Clear Aligner Therapy(review) | https://pmc.ncbi.nlm.nih.gov/articles/PMC11032144/ |
| 論文(全文) | PubMed Central(PMC/NIH) | Incidence of Gingival Black Triangles following Orthodontic Treatment(systematic review) | https://pmc.ncbi.nlm.nih.gov/articles/PMC9331869/ |
| 学術誌(歯周) | American Academy of Periodontology / Journal of Periodontology(Wiley) | Clear aligners and open gingival embrasures | https://aap.onlinelibrary.wiley.com/doi/10.1002/jper.11373 |
| 論文DB(要旨) | PubMed(NLM/NIH) | Relapse and inadvertent tooth movement post orthodontic treatment(review) | https://pubmed.ncbi.nlm.nih.gov/38389556/ |
